攝護腺動脈栓塞治療
2025/8/6 18:03:33
30845
攝護腺肥大好發於中老年男性,隨著年齡增長機率增加,據統計,50-60歲男性約有50%有攝護腺肥大,60-70歲男性約有71%有攝護腺肥大。攝護腺肥大臨床症狀主要與尿路阻塞相關,合稱為下泌尿道症狀(Lower urinary tract symptoms(LUTS)),症狀包括膀胱無法完全排空,頻尿,解小便困難,尿流細小,時有尿急或頻繁夜尿的情形,對於生活品質影響甚鉅。
臨床上,攝護腺肥大的評估方法包括:國際攝護腺症狀量表(International Prostate Symptom Score(IPSS)),生活品質量表(Quality of life),尿流速檢查,使用超音波或磁振造影評估攝護腺體積,以及測量血中的「前列腺特異抗原」(PSA)。臨床醫師會根據檢查結果評估症狀的嚴重程度,給予合適的處置建議。一般依據臨床治療準則,會先給予藥物治療,對藥物反應不佳或是初始症狀嚴重的患者,手術是進一步處理的方式之一。
然而現在有一項新的治療方法可以替代手術的治療—「攝護腺動脈栓塞治療(Prostatic artery embolization; PAE)」,可供您治療的選擇。攝護腺動脈栓塞治療是使用微導管,我們將微導管置放在細小的攝護腺動脈中,然後將栓塞用的微粒球經由微導管注入攝護腺中(圖一),藉由阻塞攝護腺動脈使肥大的攝護腺組織缺血壞死進而萎縮,達到減少攝護腺體積及減少尿路阻塞的目的。全程僅需局部麻醉,不需要半身麻醉,而且此項治療併發症發生機率低(<1%)。另外多數病人術後僅需觀察4-8小時即可離院返家。
攝護腺動脈栓塞在歐美已實行多年,在臨床經驗的文獻報告上,攝護腺動脈栓塞治療能有效改善臨床症狀,包括國際攝護腺症狀量表分數以及生活品質量表分數的改善、尿流速顯著增加、攝護腺體積縮小,以及前列腺特異抗原降低,最重要的是,文獻報告指出攝護腺動脈栓塞治療不會影響性功能。
台中榮總放射線部介入性放射科及泌尿外科團隊提供您全方面的攝護腺照護,如您有攝護腺動脈栓塞治療的需求,請至影像導引微創診療門診洽詢。

|
國際攝護腺症狀量表(International Prostate Symptom Score(IPSS)) |
||||||||||||
|
問題 |
從來沒有 |
五次中少於一次 |
少於一半的時候 |
大概一半一半 |
超過一半的時候 |
幾乎是 |
||||||
|
膀胱不能將尿液完全排乾淨: |
0 |
1 |
2 |
3 |
4 |
5 |
||||||
|
排尿次數: |
0 |
1 |
2 |
3 |
4 |
5 |
||||||
|
間歇尿症狀: |
0 |
1 |
2 |
3 |
4 |
5 |
||||||
|
尿急的症狀: |
0 |
1 |
2 |
3 |
4 |
5 |
||||||
|
排尿無力的症狀: |
0 |
1 |
2 |
3 |
4 |
5 |
||||||
|
逼尿的症狀: |
0 |
1 |
2 |
3 |
4 |
5 |
||||||
|
夜尿症: |
沒有 |
一次 |
二次 |
三次 |
四次 |
五次或以上 |
||||||
|
症狀評分的總評分 = 0-7分代表症狀輕微、8-19分代表中等程度症狀、 20-35分代表嚴重症狀。 |
||||||||||||
|
因泌尿系統疾病的症狀而影響了生活品質 |
||||||||||||
|
問題 |
非常歡愉 |
喜悅的 |
大部分滿意 |
苦樂參半 |
大部分不滿意 |
不快樂 |
非常悲慘 |
|||||
|
您對自己目前排尿情形的感受如何? |
0 |
1 |
2 |
3 |
4 |
5 |
6 |
|||||
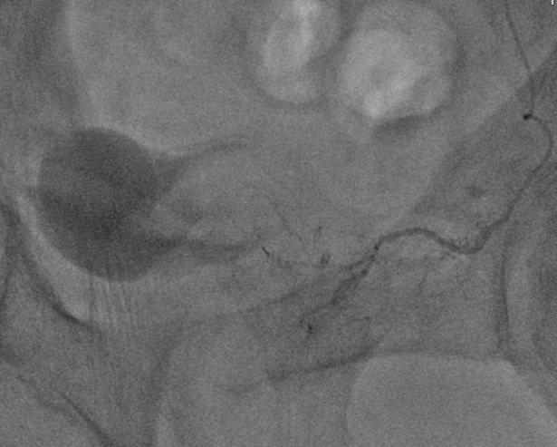
圖一:治療過程
左圖:微導管置入攝護腺動脈,注射顯影劑確認位置正確,確認之後開始進行栓塞治療。
右圖:栓塞前的術中電腦斷層,確認攝護腺的顯影,表示導管正確置入攝護腺動脈。

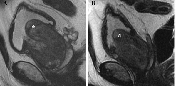
圖二:治療前後體積變化
左圖是治療前,右圖是治療後,治療後攝護腺體積明顯縮小,且攝護腺突出至膀胱內的部分(星號)也有顯著縮小。

表一:治療前後臨床症狀改善比較:改善的有國際攝護腺症狀量表分數(IPSS),生活品質量表分數(QoL),最高尿流速(Qmax),前列腺特異抗原指數(PSA)以及攝護腺體積(PV),另外性功能量表分數(IIEF)沒有明顯改變,代表性功能沒有受影響。

參考資料:
Lin YT, Amouyal G, Thiounn N, Pellerin O, Pereira H, Del Giudice C, Déan C, Sapoval M. Intra-vesicle Prostatic Protrusion (IPP) Can Be Reduced by Prostatic Artery Embolization. Cardivasc Intervent Radiol. 2015 Nov; DOI 10.1007/s00270-015-1235-8
Lin YT, Amouyal G, Correas JM, Pereira H, Pellerin O, Del Giudice C, Dean C, Thiounn N, Sapoval M. Can prostatic arterial embolisation (PAE) reduce the volume of the peripheral zone? MRI evaluation of zonal anatomy and infarction after PAE. Eur Radiol 2016. doi: 10.1007/s00330-015-4177-2. PubMed PMID: 26738505.
