跳到主要內容區塊
生殖內分泌不孕症科 Division of Reproductive Endocrinology Infertility
:::快捷選單
icon網路掛號 icon看診進度 icon即時動態 衛教專區 icon服務諮詢 icon交通指南 icon健康檢查 icon常見問答 該看哪一科
:::生殖內分泌不孕症科 > 服務項目 > 生殖科技 > 不孕症檢查 > 輸卵管攝影

輸卵管攝影

引用 (20)
圖片
更新日期 2025/10/21 14:03:12
點閱 12019


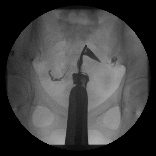
子宮輸卵管攝影檢查

1. 懷疑輸卵管因感染或子宮內膜異位等疾病造成骨盆腔沾黏使輸卵管不通,或是曾經有過子宮手術或內膜搔刮術懷疑子宮腔內沾黏時,實施子宮輸卵管攝影檢查。
2. 可以檢測輸卵管之通暢度,也可以針對子宮腔狀況做一個初步的判斷.卵巢與輸卵管的狀況,以協助醫師於臨床上的診斷,例如:子宮肌瘤.內膜異位瘤..等等。
 
  • 實施時間:通常在月經開始(第一天)算起的第9天到第11天。
  • 實施子宮輸卵管攝影檢查通常會給予三天預防性抗生素,自檢查前一天開始服用。
  • 實施子宮輸卵管攝影檢查不必空腹。
  • 月經來1-3天,請依照門診護理師指導方式進行預約。
  • 檢查結果於檢查後一周掛號看門診。
 

骨盆腔沾粘之攝影

顯影劑進入輸卵管

顯影劑進入輸卵管示意圖

顯影劑使雙側輸卵管擴張

顯影劑使雙側輸卵管擴張示意圖

顯影劑作用

顯影劑作用示意圖

顯影劑滯留於雙側輸卵管周圍-骨盆腔沾黏

顯影劑滯留於雙側輸卵管周圍-骨盆腔沾黏示意圖

回頂端