:::影像醫學部 > 【 檢查衛教專區 】 > 介入性診療
冷凍神經鬆動術
引用 (1)
2025/8/20 7:59:01
445
| 冷凍神經鬆動術 (Cryoneurolysis):精準擊退疼痛的「冷凍針」 | |
|---|---|
| 冷凍神經鬆動術(Cryoneurolysis),又稱為冷凍神經阻斷術或冷凍減痛治療,是一項利用極低溫來「冷凍」特定神經,藉此阻斷疼痛訊號傳遞的微創治療技術。其原理是透過一支極細的「冷凍探針」,在超音波或電腦斷層的導引下,精準地接觸到引發疼痛的周邊神經,然後利用探針尖端產生的冰球(ice ball)將神經降溫至約攝氏零下60至80度。 這種低溫效應能暫時性地破壞神經的軸突(axon)和髓鞘(myelin sheath),從而中斷疼痛訊號的傳導,達到緩解疼痛的目的。重要的是,神經的基底膜(basal membrane)等結構保持完整,因此神經在數週至數月後能夠自行再生並恢復功能,不會造成永久性的神經損傷。這項技術如同為疼痛按下了「暫停鍵」,提供了一個長效且可逆的止痛新選擇。 |
|
| 主要適應症 | |
冷凍神經鬆動術特別適用於治療因周邊神經受壓迫或發炎而引起的頑固性疼痛以及腫瘤侵犯或壓迫神經痛,尤其在以下情況展現出良好效果:
|
|
| 治療流程簡介 | |
冷凍神經鬆動術的治療過程如下:
|
|
| 優點與潛在風險 | |
優點:
此項治療的副作用相當罕見且輕微,最常見的是暫時性的皮膚凍傷、瘀青、腫脹或治療部位的麻木感,這些症狀通常在症狀療法下,最快可在幾天至幾週內會消退。少見副作用包括運動神經損傷,則需要配合復健治療,可在幾週或幾個月內改善。由於治療效果具可逆性,部分患者在神經功能恢復後,疼痛可能會復發,屆時可評估是否需要再次接受治療。此技術不適用於有冷過敏、雷諾氏症或特定血液疾病的患者。在接受治療前,務必與醫師進行充分的溝通與評估。 掛號連結 |
|
| 治療示意圖 | |
|
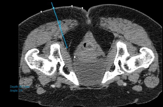
圖一:電腦斷層定位神經所在位置 (會陰神經)
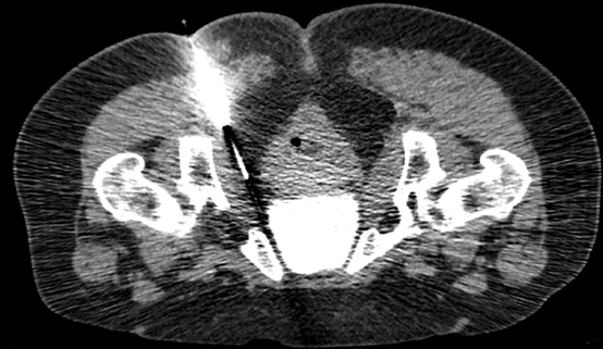
![]() 圖二:插入冷凍探針
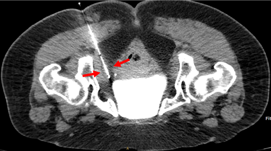
![]() 圖三:進行冷凍當中,術中評估冰球形成,確認冰球包覆神經所在位置(箭頭)
![]() |



